La santé bucco-dentaire occupe une place prépondérante dans le bien-être global des individus, influençant non seulement l’esthétique et la fonctionnalité mais aussi, de manière plus surprenante, la santé générale. C’est dans cette optique que la Journée Mondiale de la Santé Bucco-Dentaire, célébrée chaque année le 20 mars, revêt une importance capitale. Son objectif principal est de sensibiliser le grand public aux problèmes de santé bucco-dentaire et à l’importance de maintenir une hygiène dentaire irréprochable.
Sensibilisation et prévention: Les mots d’ordre
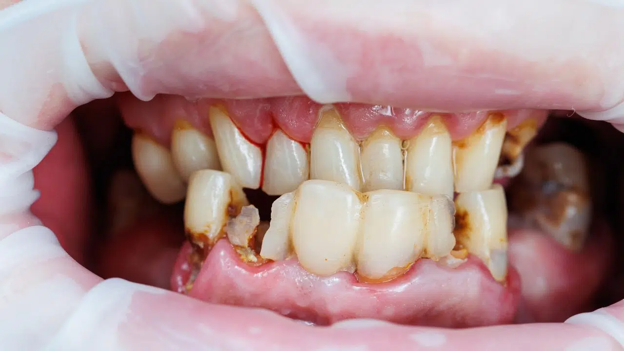
Au cœur de cette journée, la sensibilisation et la prévention émergent comme des piliers fondamentaux. Des études récentes ont dévoilé des chiffres alarmants: près de 3,5 milliards de personnes dans le monde souffrent de maladies bucco-dentaires, avec des conséquences parfois graves sur leur qualité de vie. Parmi ces affections, la carie dentaire se distingue comme étant la maladie chronique la plus répandue globalement.
Le message véhiculé lors de cette journée spéciale met en lumière la prévention, à travers des gestes simples mais essentiels. Le brossage des dents au moins deux fois par jour, l’utilisation du fil dentaire et les visites régulières chez le dentiste forment le triptyque de base d’une bonne santé bucco-dentaire.
Impact sur la santé générale: Une corrélation méconnue
L’impact de la santé bucco-dentaire sur la santé générale représente, en outre, un aspect souvent sous-estimé. Des recherches ont établi des liens entre les maladies parodontales et des conditions médicales plus larges, telles que les maladies cardiovasculaires, le diabète et même certains types de cancer. Ainsi, une bouche saine pourrait être un vecteur de prévention contre de multiples maladies.
Innovations et avancées technologiques: Vers une meilleure prise en charge
La technologie moderne a également sa part à jouer dans l’amélioration de la santé bucco-dentaire. Des innovations telles que les brosses à dents électriques intelligentes, qui offrent un feedback en temps réel sur la technique de brossage, ou les applications mobiles dédiées à la santé dentaire, sont des outils précieux dans la lutte contre les maladies bucco-dentaires.
Un appel à l’action pour tous
La Journée Mondiale de la Santé Bucco-Dentaire du 20 mars 2024 est un rappel opportun de l’importance de prendre soin de notre santé bucco-dentaire, pour notre bien-être général. Elle incite chacun, des individus aux professionnels de santé, à agir pour prévenir les maladies bucco-dentaires et à promouvoir des pratiques d’hygiène bucco-dentaire saines.
Cette journée est un moment privilégié pour réfléchir aux progrès accomplis et aux défis qui restent à relever dans le domaine de la santé bucco-dentaire. Elle souligne, avec force, que des gestes simples peuvent avoir un impact profond sur notre santé globale.



